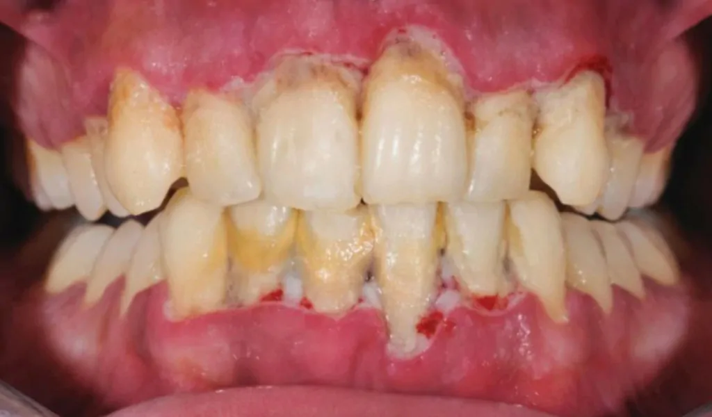
Jika anda rasa gusi berdarah ketika gosok gigi, doktor gigi ini kongsikan sebenarnya anda perlu lakukan Scaling Gigi untuk 6 bulan sekali. Kerana terdapat kebaikan di dalamnya.
Anda cuba cuba ingat balik, bila kali terakhir anda jumpa dentist atau doktor gigi untuk check gigi. Last semasa sekolah? Sekolah rendah ke sekolah menengah? ataupun sebelum mula bekerja di kota atau 6 bulan yang lalu. Dan itulah yang terbaik.
Ini kerana, doktor gigi ini kongsikan kebaikan scaling gigi bagi mengelakkan berlakunya pendarahan pada gusi atau rasa sakit gigi. Siapa je yang sanggup rasa sakit gigi kan. Kadang boleh sampai ke kepala sehingga boleh demam tau kalau sakit gigi.
Jadi sebagai asas, apa kata anda lakukan Scaling Gigi untuk 6 bulan sekali. Jadi dalam setahun, anda perlu lakukan sekurang-kurangnya 2 kali. Jom tengok apa kebaikan scaling teeth.
Kelebihan Dan Kebaikan Scaling Gigi
Berikut merupakan senarai 4 kelebihan scaling gigi yang doktor kongsikan untuk anda semua, yang mana anda perlu buat 6 bulan sekali:
1. Membersihkan Partikel Makanan Yang Ada Pada Gigi

Kita mungkin rajin untuk gosok gigi, kadang 2 kali atau 3 kali sehari. Itu bagus! Meskipun kita menggosok gigi beberapa kali sehari namun sisa makanan masih boleh melekat di celah gigi dan sukar dibersihkan menggunakan berus gigi. Cuci gigi dapat membantu membersihkan kotoran degil ini yang sukar dicapai dengan berus gigi.
2. Membersihkan Karang Gigi

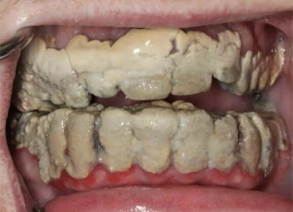
Karang gigi adalah masalah biasa di alami oleh kebanyakan orang terutamanya pada bahagian belakang gigi.
Pertumbuhan plak ini kerana campuran baki sisa makanan yang tidak dibersihkan dan air liur sehingga menyebabkan ia mengeras dan melekat pada gigi. Nak tengok, biasanya warnanya sedikit kuning berbanding dengan gigi kita.
3. Menghindari Penyakit Gusi

Kelebihan Scaling Gigi yang seterusnya adalah bagi menghindari penyakit gusi. Mungkin ada rasa ia tiada kaitan tapi sebenarnya karang gigi boleh menyebabkan penyakit gusi seperti berdarah dan bengkak.
Jika tidak dirawat buat jangka panjang, boleh menyebabkan menjadi longgar atau nama lain kita panggil ‘Periodontitis’.
4. Mengelak Perubahan Warna Gigi

Yang terakhir adalah bagi mengelakkan perubahan warna giti. Ia bukan memutihkan tetapi apabila karang dibersihkan ia dapat membantu mencegah perubahan warna gigi. Jika rawatan tidak dilakukan, gigi bukan sahaja cepat rosak tetapi warna gigi juga menjadi kuning.
Tapi scaling gigi mahal la.
Caj Rawatan Pergigian
Mungkin sedikit mahal jika anda pergi di klinik swasta, kadang ada RM90, RM100 atau sehingga RM150 sekali sesi. Tetapi jika tidak mampu, anda boleh pergi di Klinik Kerajaan. Bayaran pun murah.
Bayaran murah? Berapa ringgit? RM1 ada, RM2 pun ada.
Mengikut maklumat yang dikongsikan di Portal Rasmi Kementerian Kesihatan Malaysia, disini harga bagi setiap rawatan gigi yang disediakan untuk orang ramai (pesakit luar) ada seperti dibawah.
BACA JUGA : Cara Buat Temu Janji Klinik Gigi Kerajaan

Untuk ketahui lebih lanjut berkaitan caj di Klinik Kerajaan, anda boleh klik sini
Jadi jagalah gigi anda bagi menjamin senyuman yang menawan dan keyakinan bagi menghadapi orang ramai. Gigi dan mulut dah bersih, barulah confidence untuk bertemu dengan rakan-rakan lepas ni.
sumber : X/@njbjml












